His標簽蛋白純化親和介質選擇指南
過渡態金屬離子(Cu2+>Ni2+>Zn2+>Co2+ )能夠與電子供體,如N、S、O 等原子以配位鍵結合,金屬離子上剩余的空軌道是電子供體的配位點,在溶液中會被水分子或陰離子占據,當蛋白質表面氨基酸殘基(His)與金屬離子的結合力較強時,氨基酸殘基的供電原子就會與金屬離子結合形成復合物,取代原先結合的水分子或陰離子,這樣就能使蛋白質分子結合在固體表面。His標簽蛋白的His和介質結合,由于蛋白質表面的氨基酸的種類、數量、位置和空間構象不同,因而具體使用時根據金屬配基的親和力大小不同,選擇不同的金屬配基進行分離純化。
His標簽蛋白純化親和介質對比
名稱 | Ni-IDA | Ni-IMAC | Ni-TED |
螯合比例 | 3:3 | 4:2 | 5:1 |
還原劑(mM) | 避免使用 | 5 | 20 |
螯合劑(mM) | 避免使用 | 1 | 100 |
pH范圍 | 3-12(工作) 2-14(清洗) | 3-12(工作) 2-14(清洗) | 3-12(工作) 2-14(清洗) |
清洗再生 | 9步 (脫鎳-清洗-再生) | 9步 (脫鎳-清洗-再生) | 5步 (清洗) |
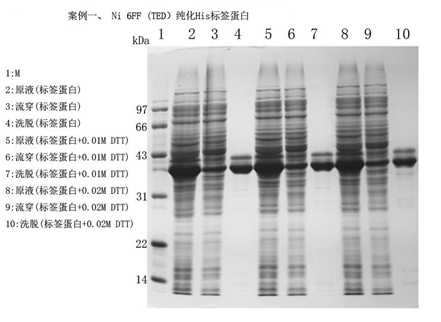
適用范圍 | 常規His標簽蛋白純化 (活性條件) | 常規His標簽蛋白純化 (活性條件和變性條件) | 可用于含有高還原劑、螯合劑His標簽蛋白樣品和真核分泌His標簽蛋白純化 (低豐度樣品及含有變性劑樣品使用效果降低) |





貨號 | 產品名稱 |
HZ1003-7 | Ni 6FF(IDA) |
HZ1003-10 | IDA 6FF |
HZ1003-5 | Ni 6FF (IMAC) |
HZ1003-6 | Ni 6HP (IMAC) |
HZ1003-8 | Ni 6FF (TED) |
HZ1007-2 | IMAC 6FF |
HZ1003-9 | TED 6FF |